Surgical Treatments in Charlotte, NC
Restore and Rejuvenate with Expert Cosmetic Enhancements
At Charlotte Skin & Laser, our cosmetic surgery procedures are designed to enhance your natural features with precision, artistry, and care. Whether you’re seeking to refresh tired eyes, restore facial balance, or refine specific areas for a more confident appearance, our expert team provides safe, customized solutions tailored to your goals. From subtle rejuvenation to transformative results, we combine advanced surgical techniques with personalized attention to help you look and feel your best.
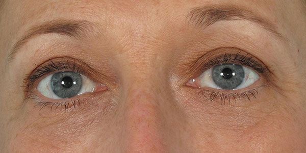
Blepharoplasty
Blepharoplasty can rejuvenate puffy, sagging or tired-looking eyes by removing excess fat, skin and muscle from the upper and lower eyelids. Blepharoplasty can be combined with BOTOX treatments to raise the eyebrows or reduce the appearance of wrinkles or crow’s feet around the eyes. Eyelid surgery is also often combined with laser skin rejuvenation with CO2 laser or fractional CO2 laser to smooth wrinkles, lighten dark circles and achieve skin tightening.
Tumescent Liposuction
Tumescent liposuction is a safe outpatient procedure performed to sculpt away unwanted fat deposits that are resistant to diet and exercise. Dr. Rostan has received fellowship training in the technique of tumescent liposuction, along with additional training from Dr. Jeffery Klein, the developer of the tumescent technique. She has performed hundreds of liposuction procedures over the last 12 years.
Torn Earlobe Repair
Schedule A Consultation
Integrating The Art of Medicine with the Science of Beauty
At Charlotte Skin & Laser, we offer personalized skincare with a boutique touch—combining medical expertise and aesthetic artistry to deliver natural, results-driven care. From skin checks to rejuvenation, our expert team is here to guide you.
